Leg length discrepancy
Leg length discrepancy is a difference between the lengths of the lower limbs. The causes vary and may include congenital, developmental, post-traumatic, infections, metabolic and neuromuscular causes. Mild leg length discrepancy is common and maybe considered as normal but a leg length discrepancy of more than two centimeters is likely to cause symptoms and the patient is offered surgical intervention. Surgery if required is ideally performed before the end of skeletal maturation.
The options are two:
1. Slowing down the growth of the longer of the two limbs (epiphysiodesis). A metallic plate (8-plate) can be inserted across the growth plate of the longer of the two bones which can temporarily slow down the growth in length of longer limb allowing time for the shorter limb to catch up.
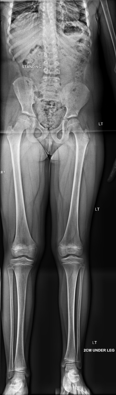
The x-rays below show a case with shortening of the lower limbs (epiphysis).
2. Lengthening of the shorter limb. The gradual and accurate limb lengthening cab be achieved with a circular external fixator (Taylor Spatial frame). The bone is surgically divided in theatre and gradual lengthening is performed using a circular external fixator, a process called distraction osteogenesis. This method addresses the short limb which is usually the limb with the problem and can also correct any deformities that may be present.
The x-ray below shows a patient’s tibia lengthening with the use of Taylor Spatial frame, by Dr. Zenios
